TheiaXA is an experimental viewer for use in x-ray angiography (XA).
Our goal is the reduction of x-ray dose to the patient by using image processing to improve visibility of the blood vessels. The objective of this release of the viewer is to provide the test-bench for evaluation of several novel algorithms designed specifically for real-time x-ray angiography. This version of the TheiaXA should help in testing our algorithms and gain the necessary feedback from the medical practitioners. Everybody, who could be interested in the presented solutions is invited to download the fully operational copy of this program, experiment with it and send us their comments and suggestions.

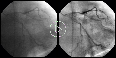
Cardiac DSA:


See video

This is our first attempt to bring Digital Subtraction Angiography (DSA) to cardiology, where the motion of the heart precludes the use of the classic, static DSA. The Coronary DSA solution, presented here, is built around our GPU accelerated algorithms for the elastic image registration. Suppression of the "background" anatomy improves contrast and visibility of the blood vessels, which can be especially important in the case of a heavier patient. Our Cardiac DSA viewer does not require selection of any mask image(s) or pre-detection of blood vessels. Instead, it builds the subtraction mask dynamically, separating the image of the blood vessels from the rest of the anatomy in consecutive frames.

Locally Optimized Windowing (LOW):


See video

Locally Optimized Windowing (LOW) provides a single frame image contrast enhancement performed by applying "windowing" of the pixel intensity values, not globally, as is usually done, but locally based on the locally computed envelopes of the original values.

Temporal Filter (Synthetic Exposure):


See video

 

The temporal filter takes advantage of our flexible image registration algorithm. For every new frame, a user selected number of past frames are warped to match the current one to one-tenth of the pixel size. Warped frames are then added together within the temporal bilateral filter. This reduces noise and for cases where a reasonably good match can be obtained it has the effect of accumulated pixel exposure, thus we coined the term "Synthetic Exposure".In this example the images, as you see on the left, was first contrast enhanced by aggressive LOW filter and edge enhancement. This creates series of very grainy images, which are then filtered by the strong temporal filter. This example is definitely an exaggeration, but was chosen to illustrate the results that clearly cannot be achieved by spatial filtering.

Motion Compensated DSA:


See video

Motion Compensated DSA essentially uses the same algorithms as the Cardiac DSA. Elastic registration of the subtraction mask allows for substantial reduction of motion artifacts. The images on the left show a comparison between the "classic" (rigid) DSA without motion compensation (left image) and the Motion Compensated DSA (right image). Both images were produced with suppression of the "background" anatomy set to 75%.

Download free experimental (pre-release) version of TheiaXA DICOM Viewer